Svjetski dan
borbe protiv tuberkuloze
Tuberkuloza je bolest koju izaziva
bakterija Mycobacterium tuberculosis. Najčešće
zahvaća pluća ali može napasti bilo koji organ
u ljudskom tijelu.
Poznata je još od davnih vremena ; starogrčki
liječnici su je nazivali " phthisis "
ili sušica. U 17 i 18 stoljeću bila je uzrok 25%
smrti stanovništva Europe. Danas se smatra da
je
Trećina populacije inficirana
baclilom tuberkuloze
Svake godine 9 miliona ljudi razvije bolest(10%
od inficiranih)
Svake godine oko 2 miliona ljudi umre od ove
bolesti
Tuberkuloza je vodeći uzrok smrtnosti kod HIV
bolesnika
Bacil tuberkuloze otkrio je njemački
bakteriolog Robert Koch 1882 godine te se po njemu
naziva još i Kohovim bacilom.

Porast bacila tuberkuloze na Löwenstein-Jensen
podlozi (CDC)
Tek otkrićem antibiotika 1946 (streptomicina)
počinje adekvatno liječenje ove bolesti i rađa
se nada da će s vremenom biti iskorijenjena. U
zadnje vrijeme velike migracije ljudi koji šire
zarazu, epidemija AIDS-a, i pojava sojeva koji
su multiplo rezistentni na antibiotike(MDR-TB)
drastično mijenjaju mišljenje o skoroj eradikaciji
ove bolesti . 1993 godine Svjetska zdravstvana
organizacija proglasila je tuberkulozu globalnim
problemom i propagira buduću strategiju borbe
protiv tubrkuloze s ciljem da se 2050 godine tuberkuloza
eliminira kao javno zdravstveni problem.
Tuberkuloza je bolest koja se putem zraka prenosi
sa osobe koja ima manifestnu tuberkuloznu infekciju,
koja kašlje, kiše, govori i pritom u sitnim kapljicama
sluzi i pljuvačke izbacuje bacile tuberkuloze
u vanjsku sredinu. Ove čestice mogu biti inhalirane
od strane zdrave osobe, dospijevaju u njene plućne
alveole i tu se počnu umnožavati, zatim putem
krvi mogu biti rasute do drugih organa u tijelu
gdje se nastavljaju razmnožavati i time uzrokovati
pojavu simptoma infekcije-klinički manifestna
tbc infekcija. Svaka neliječena osoba sa aktivnom
tuberkulozom inficira prosječno 10 do 15 osoba
godišnje.

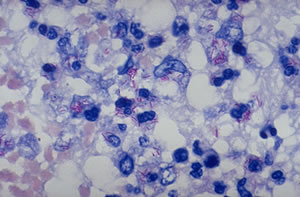
Acidorezistentni bacili u tkivu.
Bojanje po Ziehl Neelsen-u.
90% ljudi koji se inficira sa bacilom tuberkuloze
ne razvija simptome bolesti. Dobra fizička kondicija,
efikasni imunološki sustav uspijevaju zadržati
infekciju u latentnom stanju: nema fizičkih znakova
bolesti , niti se infekcija može prenijeti na
druge osobe. Ovi ljudi mogu imati pozitivan kožni
tuberkulinski test.
QuantiFERON-TB zlatni test predstavlja test iz
pune krvi pomoću kojega se može dokazati manifestna
TBC infekcija ali takođe otkriti latentna TBC
infekcija kod osoba u kontaktu sa oboljelim, nedavnih
doseljenika iz karajeva koji imaju visoku incidencu
tuberkuloze i imaju BCG cijepljenje, ali i kod
zdravstvenih radnika koji su neposrednom kontaktu
sa oboljelima, odnosno laboratorijskih radnika
koji rade na dijagnostici ove bolesti. Svi ljudi
sa latentnom tb infekcijom mogu tijekom života
razviti aktivni oblik bolesti ukoliko se latentni
oblik ne terapira.
Faktori rizika za razvoj aktivnog oblika bolesti
iz latentnog su slijedeći: HIV infekcija, loš
socioekonomski status, alkoholizam, bezkućnici,
skučeni stambeni uvjeti, druge bolesti koje oslabljuju
imunološki sustav, migracija ljudi iz zemalja
koje imaju velikibroj oboljelih, zdravstveni radnici.
Za dijagnozu TBC bolesti potrebno je uraditi i
rentgen snimak pluća, mikroskopski i kulturelno
obraditi uzorke iskašljaja urina, menstrualne
krvi, isječaka tkiva organa koji su sumnjivi na
bolest.
Liječenje manifestne tb bolesti provodi se pod
kontrolom pneumoftiziologa, liječnika opće prakse
i patronažne medicinske sestre, uz izolaciju pacijenata
koji su zaraženi sa multiplorezistentnim sojevima
ove bakterije.
Tuberkuloza je preventabilna i izlječiva bolest!
Zato je sačinjen globalni plan: Stop tuberkulozi
2006-20015, sa slijedećim ciljevima:
Zaustaviti porast incidence TB, i do 2015 godine
obezbjediti njeno padanje
Obezbjediti visoko kvalitetnu dijagnostiku i
liječenje za sve
Spasiti dodatnih 14 miliona života
Liječiti 50 miliuna TB pacijenata
Liječiti sve pacijente s multiplorezistentnom
tuberkulozom
Liječiti 3 miliunaTB pacijenata koinficiranih
s HIV-om dodatno i retroviralnim lijekovima
Proizvesti novi antituberkulotik do 2010 godine
Razviti novo cijepivo do 2015 godine
Razviti brzu i jeftinu dijagnostiku dostupnu
svima
Uz krajnji cilj 2050 godine: Tuberkuloza eliminirana
kao javno zdravstveni problem